
¿Qué es y para qué sirve un Diseño de Sonrisa?
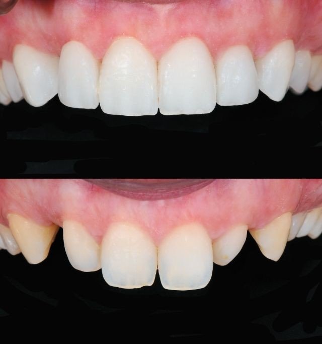
El Diseño de Sonrisa es un procedimiento odontológico que busca mejorar la estética dental, la función de la mordida y la armonía facial. Su objetivo es mejorar la forma, tamaño y color de la sonrisa, logrando un resultado natural y coherente con la expresión de cada paciente.
En Be Dharma Dental, el diseño de sonrisa se desarrolla a partir de un diagnóstico personalizado y cuenta con alternativas como resina de alta estética y cerámica, seleccionadas según las necesidades clínicas y los objetivos de cada caso.
Cotizar procedimiento

